Katsothan sivun loppuun, jossa vielä lisätietoa koskien kaikkia ultraäänitutkimuksia!
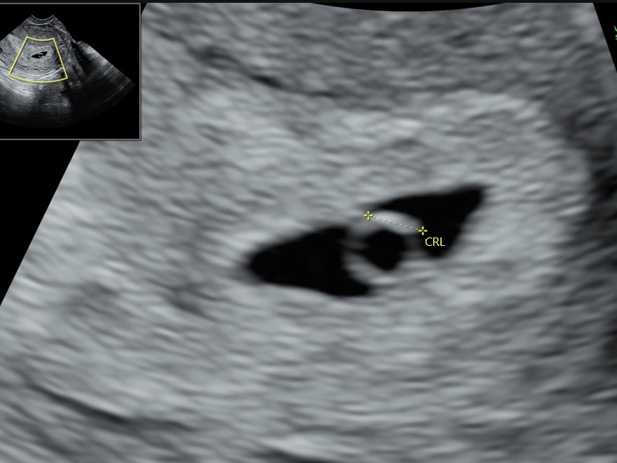
ALKURASKAUDEN ULTRAÄÄNI
"Ensitreffit"
Alkuraskauden ultraääni tai toiselta nimeltä varhaisultra on parhaimmillaan raskausviikon 7 jälkeen aina ensimmäiseen seulaultraääneen saakka. Vauvan sydän alkaa lyömään noin rv 5+6, mutta ei kaikilla. Vasta yli 6mm pitkällä kaverilla, eli noin rv 6+3 tulisi olla syke nähtävillä. Aikaa varatessa kannattaa huomioida oman kierron ja ovulaatiohetken vaikutus raskauden kestoon. Joskus sykkeen näkyminen on todellakin päivistä kiinni. Meihin saa aina ottaa yhteyttä, jos mietit koska kannattaa tulla.
Suosittelisimme lämpimästi odottelemaan rv:lle 8+0, jolloin raskauden keston määrittäminen on luotettavampaa pienen hiukan kasvettua suuremmaksi, mutta ymmärrämme kyllä, jos haluat varmistua tilanteen jo aikaisemmin.
Toki voit tulla käynnille, vaikka et ihan tarkkaa raskauden kestoa osaa arvioidakaan, se saadaan kyllä useimmiten tutkimuksen aikana selville.
Tutkimus tehdään rv 10-11 saakka emättimen kautta, jotta saamme parhaan mahdollisen näkymän pienokaiseen, mutta kuulemme kyllä sun toivettasi. Tutkimuksen aikana saadaan arvion lasketulle ajalle, nähdään sikiön syke ja tarkastellaan montako vauvaa kasvattelette. Käynnillä ei ole mahdollista ottaa 3D/4D-kuvaa, mutta tulostettuja ja sähköisiä kuvia tästä usein nallekarkin näköisestä ja kokoisesta pienokaisesta saatte mukaanne. Ja toivottavasti helpottuneen olon epävarmuuden tilalle.
Jos nykyraskaudessa on ollut erityistä huolta (esimerkiksi voimakasta kipua tai kuukautistyyppistä vuotoa) tai sinulla on aikaisemmin ollut kohdunulkoinen eli ektooppinen raskaus, suosittelemme lämpimästi käymään alkuraskauden ultraäänessä naistentautien ja synnytysten erikoislääkärillä. Sama koskee keskenmenon jälkitilan tarkastamista.
Emme osaa ottaa kantaa raskauteen vaikuttaviin perussairauksiin tai niiden lääkityksiin, mutta ohjaamme sinut kyllä eteenpäin asiantuntijalle, jos niin toivot.
Vastaanoton kokonaiskesto on noin
30 minuuttia.
Hinta 79 euroa (lauantaisin ja pyhinä 94,80€)
Vinkki! Lempeän ja kohtuuhintaisen gynekologin löydät tästä Sivutaskun naapurista Vanamosta. Jattan verkkosivuilla www.gynekologipalveluvanamo on sähköinen ajanvaraus ja hinnasto.



RASKAUSULTRA
"Pikainen kurkistus"
Tähän ultraääneen voit tulla missä raskauden vaiheessa tahansa käytyäsi ensimmäisessä julkisessa ultraäänessä eli rv 12+0 jälkeen. Käynnillä tarkastellaan vauvan liikkeitä, kuunnellaan sydänääniä, otetaan mittoja painoarviota varten ja ihan vaan ihaillaan vauvaa.
Joku kaipaa ehkä varmistusta vauvan hyvinvoinnille ennen liikkeiden tuntemista, toinen haluaa kurkistaa vauvan sukupuolta (onnistuu parhaiten kun raskausviikkoja on 16+0 tai yli), kolmas ei ehkä tunne raskautta vielä omakseen ja kaipaa jotain konkreettista kontaktia pieneen. Joka tapauksessa tutkimuksessa pyritään aina varmistamaan se, että vauva voi hyvin.
Sairaalassa tehtävässä rakenneseulassa käy joskus niin, että sukupuoli jääkin näkymättä, vaikka sen olisi odottanut kuulevansa. Olisi hyvä sinnitellä kaksi viikkoa ennen seuraavaa ultraa, jotta vauvasta ottamamme painoarvio ja hänen vointinsa varmistaminen olisi järkevää.
Mukaan saa kuvia tulostettuna ja sähköisessä muodossa. Hinnoittelun muuttumisen vuoksi tämä käynti ei sisällä 3D/4D kuvia.
Myöhemmin raskaudessa liikkeiden vähentyminen tai selkeä vaimentuminen on asia, jota pitää selvitellä sairaalan synnytysvastaanotolla päivystyksellisesti. Sama koskee ennenaikaisia supistuksia ja paineentunnetta raskausviikkoon 36 saakka tai esimerkiksi tapaturman jälkeistä vauvan voinnin selvittelyä.
Vastaanoton kokonaiskesto on 30 minuuttia.
Hinta 79 euroa (lauantaisin ja pyhinä 94,80€)



3D/4D ULTRAÄÄNI
"Kukkuluuruu!"
Keskiraskauden ultraääni on ajateltu erityisesti 3D-kuvia ja 4D-videoita kaipaavalle. Kuvien lisäksi tutkimuksen aikana mittaamme vauvan strategiset mitat kasvun arvioimiseksi, kuulemme sikiön sydänäänet ja voimme vielä arvailla sukupuoltakin. Käymme myös läpi vauvan rakenteita, mutta rakenneseulaa tämä ultraääni ei siitä huolimatta korvaa.
Yleensä kuvaus onnistuu parhaiten raskausviikolla 28+0 paikkeilla, mutta ei ole ollenkaan ehdoton. Kuvan laatu ja onnistumisprosentti tosin heikkenevät merkittävästi raskausviikon 32+0 myötä, mutta myös liian aikaisin, ennen 25 raskausviikkoa otetut kuvat jäävät mielestämme vauvan pienen koon vuoksi heikkolaatuisemmiksi.
Mukaan saa kuvia tulostettuna sekä sähköisessä muodossa.
Vastaanoton kokonaiskesto on 30 minuuttia.
Hinta 99 euroa (lauantaisin ja pyhinä 118,80€)
Huom! Kokeile yhdysvaltalaisten kollegojen antamia vinkkejä hyvän kuvan saamiseksi: lisää vedenjuomistasi jo viikkoa ennen ajanvaraustasi! Viikon ajan kannattaa juoda 2,5-3 litraa päivässä. Juuri ennen vastaanotolle tuloa on hyvä nauttia smoothie tai tuoremehu.


LOPPURASKAUDEN ULTRAÄÄNI
Loppuraskauden ultraääni on nimensä mukaan ajateltu raskauden viimeisille viikoille (noin rv 36+0 alkaen) synnytystapa-arvion tuntumaan. Tutkimuksen aikana mitataan vauvan strategiset mitat painoarviota varten, kuunnellaan sikiön sydänäänet ja nähdään missä asennossa hän kohdussa majailee. Tietysti myös sukupuolta voidaan tässäkin kohtaa arvailla, jos vauva on sen aikaisemmin piilottanut. Varsinkin loppuraskaudessa painoarvio on nimensä mukaisesti arvio ja siinä on helposti 10% virhemarginaali eli 3,5kiloisella vauvalla 350gr. Siksi arvioimme vauvan kokoa myös kokeilemalla vauvan kokoa vatsan päältä käsin. Tässä vaiheessa lapsivettä on useimmiten niukasti ja vauva alkaa olla matalalla lantiossa eikä välttämättä kuvaa saada kuin korvalehdestä tai kyynärpäästä.
Vastaanotolla voidaan halutessasi tutkia myös kohdunsuun tilanne, jos raskaus on täysiaikainen eli rv 38+0. Muistathan, että kohdunsuun tutkimisella ei voi ennustaa synnytyksen käynnistymistä suuntaan eikä toiseen, se on vain tämän hetken tilanne.
Vastaanoton kokonaiskesto on 30 minuuttia.
Hinta 79 euroa (lauantaisin ja pyhinä 94,80€)
LISÄTIETOA ULTRAÄÄNIKÄYTÄNTEISTÄ
Toivon, että huomioit ultraääneen tullessasi, että Sivutaskun tutkimukset eivät korvaa julkisen terveydenhuollon tarjoamia seulaultraääniä kuten yhdistelmä- / NIPT-seulaan kuuluvaa ultraääntä eikä raskauden puolivälissä tehtävää rakenneseulaa tai mitään muutakaan julkisen puolen ultraääntä sellaisenaan. Neuvolan Sivutaskussa ei siis tehdä sikiödiagnostiikkaa.
Vaikka vauvaa katsellaan täällä Sivutaskussa tarkalla silmällä, keskitymme enemmän siihen, mitä vauva puuhailee ja millaisia ajatuksia hän vanhemmissa herättää. Jos vauvalla nähdään jotain akuuttia huolta herättävää tai huomattavaa poikkeavuutta, konsultoimme lääkäriämme, joka tarvittaessa tekee lähetteen jatkotutkimuksiin. Joissain tilanteissa lähetekriteerit eivät yhdellä katsomisella täyty ja tilannetta pitää seurailla tai katsoa uudelleen. Näin varsinkin alkuraskaudessa. On myös mahdollista, että suosittelemme laboratoriotutkimuksia tai lääkärin vastaanottoaikaa. Nämä eivät luonnollisesti kuulu Sivutaskun vastaanottohintaan, mutta maksuja ei tule yllättäen ja sinulla on mahdollisuus niihin vaikuttaa.
Alkuraskaudessa voi joskus herätä epäilys keskeytyneestä keskenmenosta. Tämä tarkoittaa, että vauvan kasvu on pysähtynyt ja sykettä ei enää nähdä, mutta raskaus jatkuu eikä vuotoa tule. Vaikka tilanne on hirvittävän surullinen ja valitettava, ei toimenpiteillä ole kiirettä. Toisinaan vuoto alkaa pian ultraäänitutkimuksen jälkeen ja joskus raskaus saattaa siihen puuttumatta jatkua viikkojakin. Mikäli epäilys keskenmenosta herää, konsultoimme lääkäriämme tilanteesta sekä lähetteen tekemisen tarpeesta naistentautien poliklinikalle, jossa hoito tarpeen mukaan jatkuu.
Keskenmenoepäilyn, johon liittyy kuukautistyyppistä veristä vuotoa, tutkiminen ja selvittely vaatii naistentautien ja synnytysten erikoislääkärin tutkimuksia sekä mahdollisesti laboratorionäytteitä, joten niitä ei valitettavasti voida selvitellä Sivutaskussa. Myöskään munasarjoihin tai muihin gynekologisiin ultraääniasioihin Sivutaskun kätilönä emme osaa ottaa kantaa.
Lääkärimme Jatta tekee lähetteet jatkotutkimuksiin viimeistään vastaanottoa seuraavana arkipäivänä. Lähete on sinulle maksuton.

